Inteligencia Artificial
La integración de IA permite anticipar escenarios y automatizar flujos de trabajo clínicos
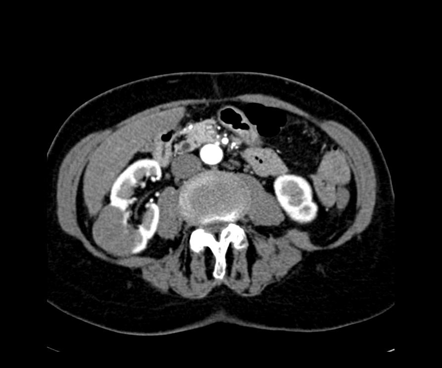
Algoritmos de IA y análisis radiómico
Una precisión clínica sin precedentes
Fusionamos la IA con datos de imagen médica para crear herramientas inigualables de diagnóstico y enseñanza. Nuestra capacidad predictiva permite anticipar desafíos quirúrgicos y minimizar las posteriores complicaciones.
Algoritmos predictivos de alta definición
Radiología con IA
Mediante algoritmos de aprendizaje profundo, transformamos estudios convencionales en mapas anatómicos inteligentes, permitiendo a cirujanos y veterinarios interactuar con la patología de forma dinámica. Este enfoque no solo revela estructuras ocultas, sino que redefine la precisión en la planificación de casos de alta complejidad.
- Mayor número de casos operables
- Diagnósticos más rápidos
- Menos pruebas previas
- Mayor precisión
Percepción más allá del ojo humano
La integración de algoritmos de aprendizaje profundo permite identificar biomarcadores y anomalías tisulares que suelen ser imperceptibles en la radiología convencional. Al analizar la densidad y la textura del dato médico a nivel de píxel, nuestra tecnología facilita la detección precoz de patologías críticas y tumoraciones en estadios iniciales.
Anticipación Diagnóstica
Nuestra tecnología de inteligencia artificial analiza patrones microscópicos y biomarcadores imperceptibles al ojo humano en las fases iniciales de una patología. Gracias a nuestros análisis y algoritmos de alta sensibilidad, logramos identificar anomalías y tumoraciones en estadios tempranos, permitiendo una intervención preventiva que mejora drásticamente el pronóstico del paciente y la viabilidad de los tratamientos.
Alta definición y detalle
Reducción de tiempos
Optimización de procesos
Preguntas frecuentes
Nuestros algoritmos analizan el dato médico (TAC/RM) a nivel de píxel, identificando variaciones de densidad y texturas (radiómica) que pueden ser imperceptibles para el ojo humano. Esto permite detectar anomalías en estadios muy tempranos.
Es la extracción de grandes cantidades de datos cuantitativos de las imágenes médicas. La IA utiliza estos datos para encontrar patrones que relacionan la imagen con la biología de la patología, algo que va mucho más allá de la simple visualización.
En absoluto. Nuestra tecnología actúa como una «segunda mirada experta». Proporciona un mapa de probabilidades y segmentaciones precisas para que sea el facultativo quien valide y tome la decisión final con mayor seguridad y datos objetivos.
Sí, nuestra IA está entrenada para reconocer estructuras anatómicas complejas en ambos campos, adaptándose a las particularidades de cada especie para ofrecer la máxima precisión diagnóstica.
Sí. Al contar con una segmentación inteligente y una delimitación exacta de la masa o lesión antes de la cirugía, el equipo médico puede planificar el abordaje con total exactitud, evitando imprevistos y optimizando cada minuto de la intervención.
¿Preparado para liderar la próxima generación de cirugía?
Optimiza tus procesos, reduce riesgos y ofrece soluciones personalizadas de ingeniería biomecánica.